Site dedicat profesionistilor din domeniul stomatologic
X

Puteti compara maxim 4 produse! Primul produs adaugat in lista a fost sters.

Produse
Fir de retractie gingivala Ultra Pack #3 Ultradent
Cod UL-52
Stoc limitat! Livrare in 1-2 zile
Preț 97,21 Lei
Stoc limitat! Livrare in 1-2 zile
Pensa cu autoblocare Prima
Cod DI-571
Stoc limitat! Livrare in 1-2 zile
Preț 20,13 Lei
Stoc limitat! Livrare in 1-2 zile
Preț 18,66 Lei
In stoc! Livrare in 1-2 zile
Preț 17.792,04 Lei
Stoc limitat! Livrare in 1-2 zile
Universal Densah Bur-suport freze dentare Versah
Cod VS-VUBLK
Stoc limitat! Livrare in 1-2 zile
Preț 812,42 Lei
Stoc limitat! Livrare in 1-2 zile
Freza dentara 4.8mm x 5.8mm Densah Bur Short Versah
Cod VS-VT4858-S
Stoc limitat! Livrare in 1-2 zile
Preț 850,08 Lei
Stoc limitat! Livrare in 1-2 zile
Zetalabor silicon de condensare Zhermack
Cod ZE-20
Stoc limitat! Livrare in 1-2 zile
Preț 298,90 Lei
Stoc limitat! Livrare in 1-2 zile
Preț 9,59 Lei
In stoc! Livrare in 1-2 zile
Preț 18,66 Lei
In stoc! Livrare in 1-2 zile
-18%
Ciment ionomer de sticla 3M™ Ketac™ Cem Radiopaque
Cod 3M-7100215266
In stoc! Livrare in 1-2 zile
"> Pret vechi: 285,30 Lei (-18%)
Preț 235,23 Lei
Pret vechi: 285,30 Lei (-18%)
In stoc! Livrare in 1-2 zile
Material de amprentare Express™ VPS  Regular Body/Regular Set Refill Pack
Cod 3M-7000030480
In stoc! Livrare in 1-2 zile
Preț 296,03 Lei
In stoc! Livrare in 1-2 zile
Pensa cu autoblocare Prima
Cod DI-571
Stoc limitat! Livrare in 1-2 zile
Preț 20,13 Lei
Stoc limitat! Livrare in 1-2 zile
Produse

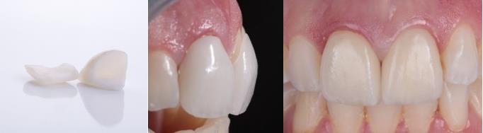
Sfaturi și trucuri de expert pentru cimentarea fațetelor - Prof. Paulo Monteiro

Locatie: Noutati // Data: 28.01.2026
Autor: Prof. Paulo Monteiro • Traducere RO

Cimentarea fațetelor poate fi o provocare, care cere atenție la detalii. Folosește aceste tips & tricks ca să stăpânești procedura de la try-in până la fotopolimerizarea finală și să obții rezultate estetice, durabile, cu încredere.

Număr pași: 7
Focus: estetică + durabilitate
Cheia: izolare + protocol
Autor: Prof. Paulo Monteiro

De ce procedura de cimentare a fațetelor poate face (sau strica) tot

Scopul fațetelor este un zâmbet frumos și de durată, exact ce își doresc pacienții. Doar că ultimul pas, cimentarea, poate fi cel mai sensibil. Cimentarea adezivă este tehnică-dependentă și e esențială pentru estetică pe termen lung și durabilitate. Ceramica este subțire și fragilă, iar într-o astfel de procedură, orice mică greșeală poate deveni vizibilă imediat.

Ideal, ședința de cimentare ar trebui să fie începutul „makeover-ului” estetic al pacientului, fără stres, iar asta înseamnă un protocol simplu, dar eficient.

Protocolul poate fi împărțit în 7 pași

  1. Curățare
  2. Try-in pentru adaptare și estetică
  3. Izolare și try-in final
  4. Pretratarea fațetei
  5. Pretratarea preparației
  6. Aplicarea cimentului, inserția și curățarea inițială
  7. Fotopolimerizare și curățare finală

În continuare, trecem prin fiecare pas cu tips & tricks pentru rezultate eficiente, estetice și stabile pe termen lung.

1) Un start curat: curățarea mecanică a preparațiilor

Îndepărtează restaurările provizorii și orice exces de ciment, apoi curăță foarte bine zona. Orice reziduu rămas poate afecta adaptarea sau culoarea finală. O pastă cu piatră ponce este o opțiune bună pentru curățarea mecanică. Pereții și zonele ocluzale pot fi curățate cu o periuță mică, dar zonele marginale sensibile, aproape de gingie, e mai bine să fie curățate cu o buletă/pellet de spumă.

Evită agenții/pulberile de curățare pe bază de bicarbonat de sodiu, deoarece pot inhiba adeziunea. Ca alternativă, poate fi folosită 3M™ Clinpro™ Glycine Prophy Powder, ce conține glicină, nu bicarbonat.

2) Try-in: găsește potrivirea perfectă

Înainte de cimentare, verifică încă o dată adaptarea și dacă rezultatul corespunde cerințelor estetice și funcționale. Ca la haine: le probezi. Pare simplu, dar există câteva detalii care contează.

Pune fiecare fațetă individual și apoi împreună, ca să verifici adaptarea și contactele proximale.

Dacă pui fațeta „pe uscat”, vei confirma adaptarea, dar nu vei reproduce neapărat nuanța finală. Nuanța finală este suma: culoarea preparației + fațeta + cimentul dintre ele, într-un mediu umed, hidratat. De aceea, se recomandă fie o picătură de apă între preparație și fațetă (pentru transmisie mai realistă a luminii), sau, și mai bine, o pastă de try-in.

Pastele de try-in au avantaje față de apă: ajută la stabilizarea fațetelor pentru evaluarea marginilor/contactelor și îți permit să previzualizezi și să alegi nuanța corectă a cimentului. Pentru fațete mai groase, nuanța cimentului influențează mai puțin. Pentru fațete subțiri (0,3–0,5 mm), cimentul poate schimba estetic rezultatul, deci e util să ai mai multe nuanțe la îndemână.

Multe cimenturi, precum 3M™ RelyX™ Veneer Cement și 3M™ RelyX™ Universal Resin Cement, au paste de try-in corespunzătoare, astfel încât poți testa nuanțele înainte de cimentare. De exemplu, dacă vrei un rezultat mai „high value” (mai alb/mai luminos), poți testa o pastă albă opacă având încredere că cimentul din aceeași nuanță va livra un rezultat similar. Dacă nu iese nuanța dorită, îndepărtezi fațeta, clătești și testezi altă nuanță.

3) Pregătește scena: izolare și try-in final

Clătește, usucă și izolează dinții cu digă (rubber dam) și, dacă este necesar, fir de retracție sau pastă de retracție. Izolarea este esențială la cimentare: îmbunătățește accesul și vizibilitatea și menține câmpul curat și uscat.

Fă un try-in final cu diga montată ca să verifici dacă traseul de inserție și marginile fațetelor nu se lovesc de fir, digă sau cleme. Dacă e nevoie, ajustează izolarea ca să fie „smooth” la inserția finală.

4) Pre-tratarea fațetei: set-up pentru succes

Ca să alegi corect pretratamentul și cimentul, trebuie să știi ce material a folosit tehnicianul și dacă laboratorul a făcut deja vreun pretratament. Asta te ajută să obții adeziune optimă și să eviți atât subtratarea, cât și supratratarea inutilă. Un formular (de tip „cementation guide”) poate optimiza comunicarea cu laboratorul.

Materiale diferite = pretratamente diferite. Ceramica pe bază de sticlă (ex. disilicat de litiu, ceramică feldspatică) se gravează cu acid fluorhidric pentru microretenții. În schimb, ceramica oxidică fără particule de sticlă gravabile (ex. zirconiu) sau materialele pe bază de rășină se sablează cu alumină și apoi se curăță cu alcool.

După gravare, fațetele din ceramică pe bază de sticlă trebuie curățate atent pentru a îndepărta sărurile (silica-fluoruri) precipitate pe suprafața gravată. Se face prin clătire puternică cu apă până dispare complet depunerea albă.

Dacă laboratorul a făcut deja gravarea/sablarea înainte de livrare, e nevoie de o curățare mai intensă, ca să elimini contaminările apărute la try-in. Pentru ceramica pe bază de sticlă, se poate freca cu acid fosforic 1 minut, apoi clătire. În schimb, pe zirconiu nu se recomandă acid fosforic (poate afecta adeziunea). Aici pot fi folosite hipoclorit de sodiu (NaOCl) sau agenți dedicați de curățare.

După spălare, ceramica pe bază de sticlă se usucă înainte de aplicarea silanului.1 Există opțiuni variate: silan separat, primer universal cu silan sau adezivi universali care includ silan (de exemplu 3M™ Scotchbond™ Universal Plus Adhesive). Formula acestuia poate oferi rezistență de adeziune pe ceramică de sticlă comparabilă cu silanii clasici separați.2 În plus, conține MDP pentru amorsarea fațetelor din zirconiu.

După frecare timp de 20 secunde, suflă aer 5 secunde până se evaporă complet solventul și protejează suprafața acoperită de lumină până la momentul aplicării cimentului.

5) Pre-tratarea preparației: baza pentru o adeziune solidă

Zonele fără email (de exemplu build-up-uri din compozit sau dentină) se sablează cu oxid de aluminiu și se clătesc.

Emailul existent se gravează cu acid fosforic (ex. 3M™ Scotchbond™ Etchant) 15 secunde, se clătește foarte bine (minim 15 secunde) și se usucă.

Apoi aplică sistemul adeziv recomandat pentru cimentul folosit (de exemplu Scotchbond Universal Plus pentru RelyX Veneer Cement sau RelyX Universal Resin Cement).

Protejează dinții vecini cu bandă PTFE, freacă adezivul 20 secunde, apoi suflă aer până solventul este complet eliminat și adezivul nu mai „mișcă”. Aplicarea corectă lasă un film lucios pe toată suprafața. Nu fotopolimeriza adezivul, ca să eviți un strat mai gros decât trebuie.

6) Aplicarea cimentului: uniformitatea e boss-ul

Pentru restaurări estetice pe termen lung (fațete), un ciment adeziv estetic cu sistem de bonding separat este opțiunea preferată, atât din cauza preparației neretentive, cât și pentru că, de regulă, lucrăm preponderent pe email. Acest tip de ciment oferă adeziune excelentă și stabilitate cromatică.

Ai două opțiuni principale: ciment fotopolimerizabil (light-cure) sau ciment dual (dual-cure). Cimenturile light-cure (ex. RelyX Veneer Cement) sunt „gold standard” pentru fațete deoarece oferă timp de lucru nelimitat, super util când inserția e dificilă. Totuși, trebuie fotopolimerizate complet, ceea ce poate fi mai greu la fațete groase/opace. Alternativ, un dual-cure (ex. RelyX Universal Resin Cement) oferă adeziune puternică și estetică bună, dar cu timp de lucru limitat și avantajul că poate fi folosit în mai multe indicații.

Aplică cimentul ales pe interiorul fațetei. Cât de mult? Nu e despre cantitate, ci despre uniformitate. Asigură-te că acoperi întreaga suprafață ceramică într-un strat uniform. Excesul îl cureți. Bulele de aer sau golurile dintre fațetă și preparație… nu.

7) Inserție, fotopolimerizare și finisare

Inserția: momentul adevărului

Fiecare clinician are stilul lui: una câte una sau toate odată. Când am mai multe fațete, încep cu cei doi incisivi centrali, apoi lateralii, apoi caninii etc. Incisivii centrali sunt cei mai vizibili, deci acolo ai cel mai mic spațiu de eroare.

Așez fațeta pe dinte și încep să îndepărtez excesul cu un burețel. Apoi folosesc un instrument ca să stabilizez ușor poziția și curăț excesul din margini cu ață dentară. După ce toate fațetele sunt inserate și excesul principal este îndepărtat, trebuie stabilizate, adică e timpul pentru fotopolimerizare.

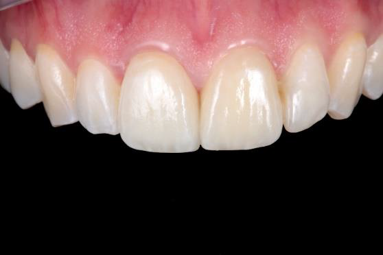
Fotopolimerizarea finală: diferența dintre „ok” și „wow”

Fotopolimerizarea finală e vitală pentru longevitate, funcție și estetică. O polimerizare insuficientă poate duce la discromii marginale sau chiar debonding. Ca să obții o polimerizare completă: cunoaște cerințele materialelor, folosește tehnică corectă și asigură-te că lampa ta are output bun (testată regulat).

Aplic un gel cu glicerină pe margini pentru a elimina stratul inhibat de oxigen și pentru a asigura o polimerizare completă, apoi polimerizez prin gel 20 secunde palatinal și vestibular. Timpul poate crește în funcție de grosimea/opacitatea fațetei.

După ce fotopolimerizarea a stabilizat fațetele, îndepărtează excesul rămas cu o lamă, apoi finisează marginile cu gume de lustruire și discuri.

Concluzie

Fiecare pas din tratamentul cu fațete contează, dar cimentarea este „final boss-ul” care le adună pe toate. Și da, poate fi challenging. Rețeta succesului: urmează recomandările, cunoaște-ți materialele, construiește un protocol clar și folosește produse validate. Combinația asta duce la rezultate excelente și pacienți fericiți.

Bibliografie

  1. Alex, Gary, DMD. „Preparing Porcelain Surfaces for Optimal Bonding.” Aegis Dental Network, 1 feb. 2008.
  2. Van Meerbeek, et al. „Optimizing glass-ceramic bonding incorporating new silane technology in an experimental universal adhesive formulation.” Dent Mater. 2021; 37(5): 894–904.

Notă: Text tradus și adaptat în limba română, preluat de pe Solventum – Brain Floss Blog (articolul „Expert tips and tricks for veneer cementation”, 12 mai 2025).

INSCRIE-TE LA NEWSLETTERUL NOSTRU

Ramai conectat si fii mereu la curent cu utimile noutati si oferte in materie de echipamente si servicii din domeniul dentar!

înregistrează-te

Înscrieți-vă la newsletter-ul nostru.

Pentru a vă transmite prin email informații cu privire la noile produse si serviciile noastre vă rugăm să completați câmpurile de mai jos:

powered by teamshare
© Copyright 2026 Medident Exim
designed by headstart.ro
in produse